Specialus pasiūlymas

Renginiai kraunami

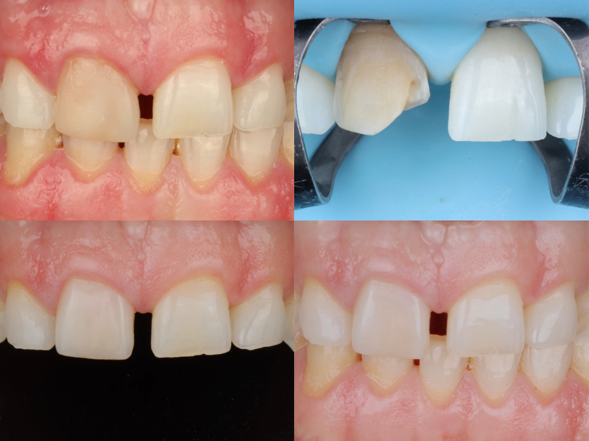
Tamsus priekinis dantis: racionalus estetikos sprendimas Lekt. Marija Žitkevičiūtė – Puteris

6 birželio @ 9:00 - 18:30

Šis kursas parengtas remiantis kasdiene klinikine patirtimi, dirbant su endodontiškai gydytais ir estetiškai komplikuotais dantimis, kai gydymo sprendimus riboja biologiniai, klinikiniai ar finansiniai veiksniai. Kurso metu nagrinėjamas konservatyvus požiūris į gydymo planavimą ir tiesioginių restauracijų taikymą, siekiant prognozuojamų ir ilgalaikių rezultatų. Kurso metu dalinamasi klinikine sprendimų logika, leidžiančia racionaliai parinkti gydymo taktiką, optimaliai išnaudoti kompozitinių restauracijų galimybes ir sumažinti nereikalingą invazyvumą, išlaikant estetinį ir funkcinį stabilumą. Kursas skirtas gydytojams odontologams, siekiantiems gilinti supratimą apie konservatyvų restauracinį gydymą, stiprinti pasitikėjimą klinikiniais sprendimais ir taikyti praktiškai pagrįstus metodus kasdienėje klinikinėje veikloje.

Kurso Tikslai

Po kurso dalyviai gebės:

  • Įvertinti negyvo danties spalvos, struktūros ir prognozės rizikos veiksnius
  • Parinkti konservatyviausią, bet estetiškai patikimą gydymo strategiją
  • Suprasti, kada balinimas yra nebūtinas arba neprognozuojamas
  • Kontroliuoti spalvą, vertę ir maskavimą kompozito sluoksniavime
  • Užtikrintai dirbti be sudėtingų laboratorinių etapų ar komandinės priklausomybės

Kursas skirtas gydytojams odontologams, siekiantiems užtikrintai planuoti endodontiškai gydytų, estetiškai pakitusių priekinių dantų restauraciją tiesioginiais kompozitais. Programa orientuota į klinikinę realybę, kai egzistuoja finansiniai, laiko ar biologiniai apribojimai, o invazinės netiesioginės restauracijos nėra optimalus pasirinkimas.

Programa

Teorinė dalis (2 val.): 

  • Negyvo danties spalvos pokyčiai. Endodontiškai gydyto danties estetiniai iššūkiai ir spalvos pokyčių mechanizmai.
  • Kodėl laminatės tamsiems dantims dažnai tampa invazinės. Gydymo strategijų palyginimas: balinimas, laminatės, vainikėlis ar tiesioginė kompozitinė restauracija.
  • Preparavimo ribos ir vietos planavimas.
  • Spalvos kontrolė, opakerių ir dentino masių naudojimo logika.
  • SFRC (short fiber–reinforced composite) vaidmuo atramai ir biomechanikai priekiniuose dantyse.
  • Restauracijų ilgaamžiškumas.
  • Klinikinis sprendimų algoritmas.
Praktinė dalis (6 val.):
  • Substrato neutralizavimo ir spalvos kontrolės strategijos. Substrato įvertinimas ir restauracijos plano sudarymas.
  • Opakerių taikymas ir maskavimo strategijos.
  • Dentino ir emalio sluoksniavimo seka tamsiam fonui.
  • Estetinės formos kūrimas.
  • Šlifavimo ir poliravimo gairės, kai dantis stipriai diskoloruotas.
  • Dalyvių darbų analizė ir klinikinė integracija. Dažniausios estetinės klaidos ir kaip jų išvengti. 

Kursų eiga:

9:00 – 10:30 teorija

10:30 – 11:00 kavos pertraukėlė

11:00 – 13:00 teorijos užbaigimas, praktika

13:00 – 14:00 pietūs

14:00 – 16:00 praktika

16:00 – 16:30 kavos pertraukėlė

16:30 – 19:00 praktika 

  • Kursai patvirtinti SAM bei dalyviams suteikiamos 8 tobulinimosi valandas patvirtinantys sertifikatai
  • Individualus darbas su modeliais / fantomais

Bilietai

bilietai

The numbers below include tickets for this event already in your cart. Clicking "Get Tickets" will allow you to edit any existing attendee information as well as change ticket quantities.
Tamsus priekinis dantis: racionalus estetikos sprendimas
450,00
8 laisvi

Atsiliepimai

Išsamųs kursai, su realiais klinikiniais pavyzdžiais. Lektorė noriai dalinasi savo patirtimi, klaidomis ir jų sprendimais. 

Kursai suteikė ne tik praktinių žinių, bet ir ramybės ir užtikrintumo jausmą, bendraujant su pacientais. 

Ačiū!

Agnė

Labai aktuali tema, nes pirmus kartus (ar pakartotinai) susiduriant su pacientais, kurie pageidauja vieno danties estetinio plombavimo, gali būti neaišku, ką atlikti. Dabar po kursų yra žymiai aiškiau bei labai geros gairės pateiktos užrašinėje.

Šie kursai gali būti sudėtingi tik pradedantiems estetinį plombavimąs pecialistams, tačiau mokytojos pagalba įmanoma greitai susigaudyti. 

Galbūt būtų galima kursų trukmę pakeisti į trumpesę. 

Rugilė

Labai patiko lektorė – šiltas ir žinių negailintis žmogus. 

Viskas labai aišku, nuosekliai, kiekvienam dalyviui skyrė dėmesio. Pasidalino „tips and tricks”, bei naudingos žinios siekiant geresnio rezultato sudėtingoje situacijoje. 

Ačiū lektorei Marijai ❤️

Jolita

Ačiū už išsamiai pateiktą informaciją, „flow” jausmą visos paskaitos metu. 

Praktikos metu naudingus patarimus ir spinduliuojamą ramybę ir aiškumą. 

Raimonda

Super, daug informacijos, galutinis išpoliravimas!!! Pagaliau viskas aišku. Ačiū Marijai:) 

Genovaitė

Labai patiko. Puiki lektorė. Daug sužinojau, buvo naudinga.:) 

Kursai atitiko mano lūkesčius, darbas buvo intensyvus, bet suspėjau. 

Evelina