@ 2025 BAED Visos teisės saugomos
Composite Resin in Anterior Teeth – estrategic – with Ana Luiza Libório
2 liepos
@
9:00
-
4 liepos
@
17:00
This three day course designed for dentists who want to enhance their skills in different direct composite restorative strategies.
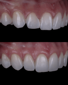
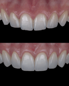
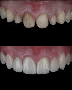
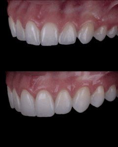
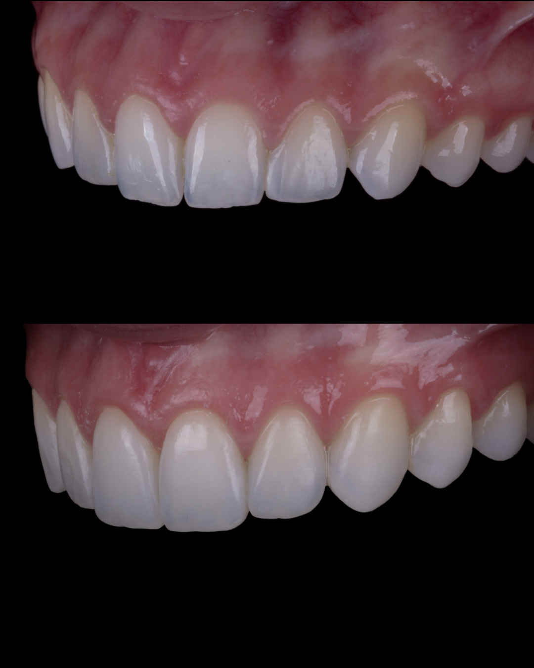
Course objective – to empower clinicians to confidentaly perform high-quality direct aesthetic composite restorations with clarity and simplicity – offering techniques that can be easily reproduced in daily practice, while mastering the most effective restorative strategies for anterior teeth: veneers, recountouring, strategic additions.
PROGRAMME
THEORY
- Anatomy and optical characteristics of anterior teeth
- Types of composite resins and their indications
- Layering sequence using different restorative strategies
- Free-hand technique and silicone index technique
- Rubber dam isolation
- Substrate analysis and definition of the restorative strategy
- Analysis of smile aesthetic principles
- Treatment planning and photographic protocol
- Finishing and surface texturization
- Final polishing sequence
- Preventive maintenance
HANDS-ON
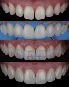
- Simplified and Stratified Technique
- Silicone Index Fabrication
- Hands-On Aesthetic Restorations in Composite Resin:
- Direct Veneer
- Conoid Lateral
- Canine Guide
- Strategic Free-Hand Additions
- Finishing and Polishing Sequence (Adjustments of primary, secondary, and tertiary anatomy – grooves and texture)
DAY 1 (July 2)
Morning – Theory
Afternoon – Theory
DAY 2 (July 3)
Morning – Theory + Hands-on
Afternoon – Hands-on
DAY 3 (July 4)
Morning – Hands-on (Finishing and polishing)
Afternoon – Hands-on + Theory
Each day will include two coffee breaks and lunch, which will be provided by the organizers.
Ana Luiza Libório
Graduated in Dentistry from the State University of Maringá (UEM) – 2012–2016
Specialist in Restorative Dentistry –Residency program at the State University of Londrina (UEL) – 2017–2019
Master’s Degree in Restorative Dentistry São Leopoldo Mandic – Curitiba campus – 2023–2025
Co-founder of SL Odontologia – 2020
Venue: BAED training center, Smolensko g. 6, Vilnius, Lithuania
Early Bird: 1950 EUR (until March 31), advance payment – 100 EUR. Remaining amount paid after 1 May 2026.
Ticket Price: 2250 EUR (after March 31)


