Specialus pasiūlymas

Renginiai kraunami

Composite Resin in Anterior Teeth – estrategic – with Ana Luiza Libório

6 liepos @ 9:00 - 8 liepos @ 17:00

This three day course designed for dentists who want to enhance their skills in different direct composite restorative strategies

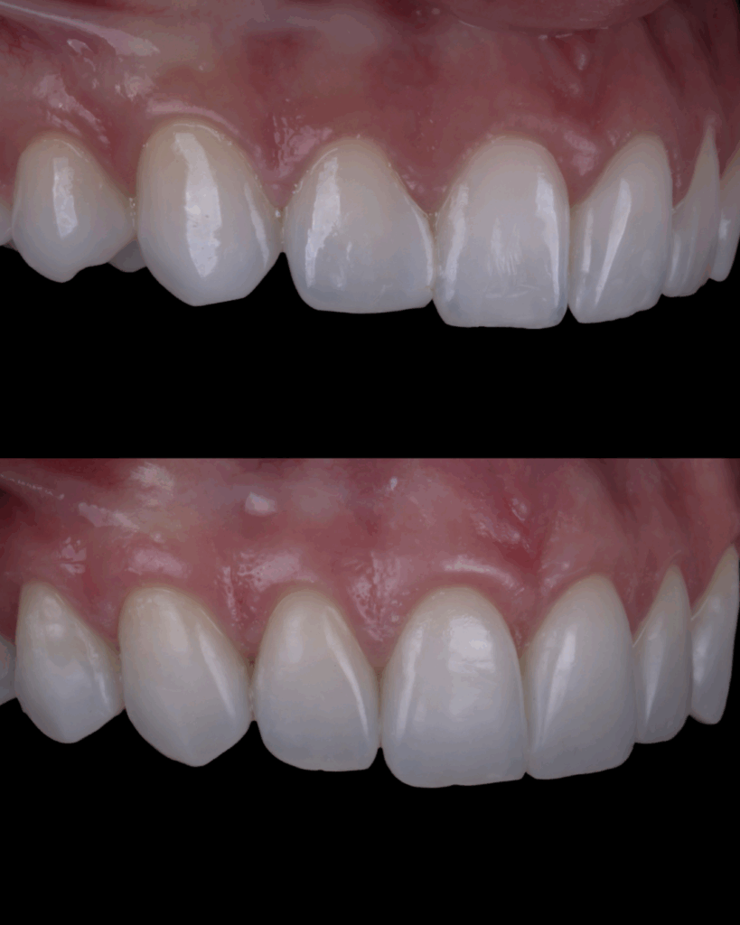
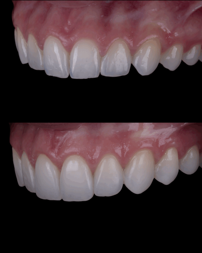
Course objective – to empower clinicians to confidentaly perform high-quality direct aesthetic composite restorations with clarity and simplicity – offering techniques that can be easily reproduced in daily practice, while mastering the most effective restorative strategies for anterior teeth: veneers, recountouring, strategic additions. 

PROGRAMME

THEORY
  • Anatomy and optical characteristics of anterior teeth
  • Types of composite resins and their indications
  • Layering sequence using different restorative strategies
  • Free-hand technique and silicone index technique
  • Rubber dam isolation
  • Substrate analysis and definition of the restorative strategy
  • Analysis of smile aesthetic principles
  • Treatment planning and photographic protocol
  • Finishing and surface texturization
  • Final polishing sequence
  • Preventive maintenance
HANDS-ON
  • Simplified and Stratified Technique
  • Silicone Index Fabrication
  • Hands-On Aesthetic Restorations in Composite Resin:
  1. Direct Veneer
  2. Conoid Lateral
  3. Canine Guide
  4. Strategic Free-Hand Additions
  5. Finishing and Polishing Sequence (Adjustments of primary, secondary, and tertiary anatomy – grooves and texture

DAY 1 (July 6)

Morning – Theory 

Afternoon – Theory 

DAY 2 (July 7)

Morning – Theory + Hands-on

Afternoon – Hands-on 

DAY 3 (July 8)

Morning – Hands-on (Finishing and polishing) 

Afternoon – Hands-on + Theory 

Each day will include two coffee breaks and lunch, which will be provided by the organizers.

Ana Luiza Libório 

Graduated in Dentistry from the State University of Maringá (UEM) – 2012–2016

Specialist in Restorative Dentistry –Residency program at the State University of Londrina (UEL) – 2017–2019

Master’s Degree in Restorative Dentistry São Leopoldo Mandic – Curitiba campus – 2023–2025

Co-founder of SL Odontologia – 2020

Instagram 

Venue: BAED training center, Smolensko g. 6, Vilnius, Lithuania

Advance payment  – 100 EUR. Remaining amount paid after 1 June 2026. 

Ticket Price: 2250 EUR 

bilietai

The numbers below include tickets for this event already in your cart. Clicking "Get Tickets" will allow you to edit any existing attendee information as well as change ticket quantities.
Composite Resin in Anterior Teeth – estrategic –
Prepayment - 100 EUR Ticket fee - 2250 EUR
100,00
3 laisvi